23 de mayo de 2023
Cuidados para una prótesis dental removible
25 de mayo de 2022
¿Qué hacer si tengo sensibilidad dental?
25 de enero de 2021
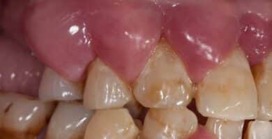
Enfermedad Periodontal Causas y Efectos
Tratamientos para prevenir enfermedades
23 de mayo de 2023
25 de mayo de 2022
25 de enero de 2021
Tratamientos para prevenir enfermedades